Los virus de la familia poxvirus producen una copia de los receptores celulares del factor de necrosis tumoral que han modificado para aumentar su actividad antiinflamatoria
El hallazgo podría abrir nuevas vías para la mejora de medicamentos ante enfermedades autoinmunes
Un estudio liderado por el Consejo Superior de Investigaciones Científicas (CSIC) ha identificado una estrategia empleada por una familia de virus, los poxvirus, para bloquear la respuesta inflamatoria y la respuesta inmune. ‘Los virus conocen mejor que nosotros cómo funciona el sistema inmune. Un mejor entendimiento de los mecanismos de evasión inmune por virus altamente virulentos puede enseñarnos nuevos trucos para mejorar los medicamentos’, explica Antonio Alcamí, investigador del CSIC en el Centro de Biología Molecular Severo Ochoa (centro mixto del CSIC y la Universidad Autónoma de Madrid).
El estudio, que se publica en la revista Nature Communications, se ha realizado en ratones con el modelo de la viruela, una de las enfermedades más virulentas a las que se ha enfrentado el ser humano (causó la muerte de millones de personas antes de su erradicación) y la primera enfermedad infecciosa erradicada mediante un programa global de vacunación en 1980. “Hemos descubierto que los poxvirus utilizan una estrategia única. Producen una copia de los receptores celulares del factor de necrosis tumoral (TFN) para inhibir la respuesta inmune”, señala Alí Alejo, científico del Centro de Investigación en Sanidad Animal y primer autor de la publicación.
Mejora de los receptores celulares
El TFN está implicado en el inicio y la coordinación de la respuesta inflamatoria y tras unirse a receptores específicos activa células inmunes necesarias para la defensa ante las infecciones.
Sin embargo, en ocasiones esta molécula se produce de forma incontrolada y causa una activación crónica de la respuesta inflamatoria que da lugar a enfermedades autoinmunes. Los inmunólogos descubrieron hace años que se pueden utilizar versiones solubles de los receptores de TFN en la clínica para tratar enfermedades autoinmunes como la artritis reumatoide, siendo éste uno de los productos biotecnológicos que más éxito ha tenido en medicina. El trabajo demuestra que los virus utilizan un mecanismo similar para bloquear la respuesta inmune pero lo hacen con una mejora y optimización de los receptores celulares del TFN añadiendo un nuevo dominio, denominado SECRET.
Este nuevo dominio interacciona con otras moléculas inmunes conocidas como quimioquinas, que controlan la migración de las células inmunes a los sitios de infección e inflamación. Al bloquear las quimioquinas, los virus consiguen que las células inmunes no se dirijan a los tejidos infectados y de esta forma inhiben una respuesta inflamatoria.
Efecto antiinflamatorio
El mecanismo combinado contra quimioquinas y el factor de necrosis tumoral, ideado por estos virus, hace que al eliminar la proteína viral pierda la batalla contra el sistema inmune y el virus sea incapaz de causar la enfermedad. De esta forma, el efecto antiinflamatorio de los receptores del TFN se ve potenciado. El estudio, que inició Alcamí hace más de 10 años cuando trabajaba en la Universidad de Cambridge (Reino Unido), revela según los científicos que la estrategia viral se podría trasladar al campo de la medicina clínica añadiendo el dominio SECRET a los receptores del TFN que se utilizan actualmente como medicamentos para frenar una respuesta inmune excesiva y tratar enfermedades autoinmunes.
“Es interesante comprobar cómo el conocimiento básico de las estrategias ‘secretas’ utilizadas por el virus de la viruela para evadir nuestras defensas podría utilizarse ahora para mejorar medicamentos que pueden curar enfermedades y mejorar nuestra calidad de vida”, concluye el científico del CSIC.
Alí Alejo, M. Begoña Ruiz-Argüello, Sergio M. Pontejo, María del Mar Fernández de Marco, Margarida Saraiva, Bruno Hernáez y Antonio Alcamí. Chemokines cooperate with TNF to provide protective anti-viral immunity and to enhance inflammation. Nature Communications. DOI: 10.1038/s41467- 018-04098-8
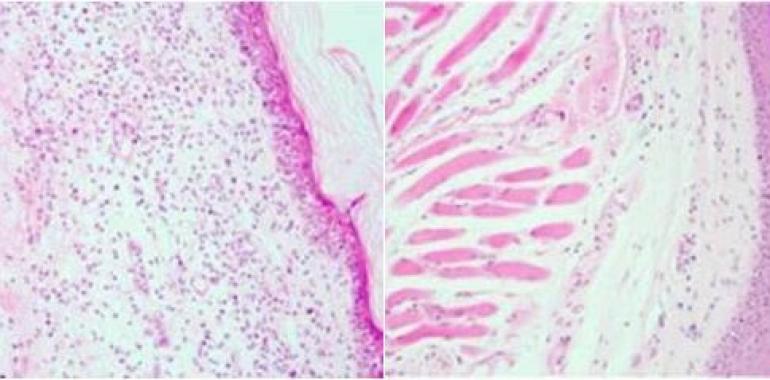
Fotos CSIC. Cortes histológicos que muestran que en presencia de la proteína viral (izq.) se inhibe una infiltración de células inmunes (puntos oscuros) y mayor inflamación que en ausencia de ella (dcha.).
